怎么申请皇冠信用网 _广东一男子20多年不敢一个人出门,医生从他脑中取出10厘米活虫
皇冠信用网会员开户(www.hg0088.us)皇冠会员开户_登3代理,皇冠信用网/—开会员账号—皇冠信用网招登1登2登3皇冠信用网平台出售,家住汕尾的阿勇(化名)今年52岁,从21年前开始出现癫痫大发作以来,他几乎从未独自出过门怎么申请皇冠信用网 。近日,广州的医生从他颅内取出一条潜伏长达20余年、约10厘米的裂头蚴,他感到前所未有的轻松。
不敢独自出门的男子
“距离现在已经有21年了!”阿勇感慨道怎么申请皇冠信用网 。那晚,他在睡梦中突然四肢抽搐、牙关咬紧、眼球上翻,完全失去意识。在当地医院被诊断为“肉芽肿炎”,但医生告知,手术可能加剧发作,阿勇选择了保守治疗。
服用抗癫痫药后,阿勇依然会出现癫痫发作怎么申请皇冠信用网 。他的心理压力与日俱增,“每天在家,不敢一个人出门,担心随时发作。”他感觉脑袋始终堵着东西,只能靠小诊所的药片暂时缓解。
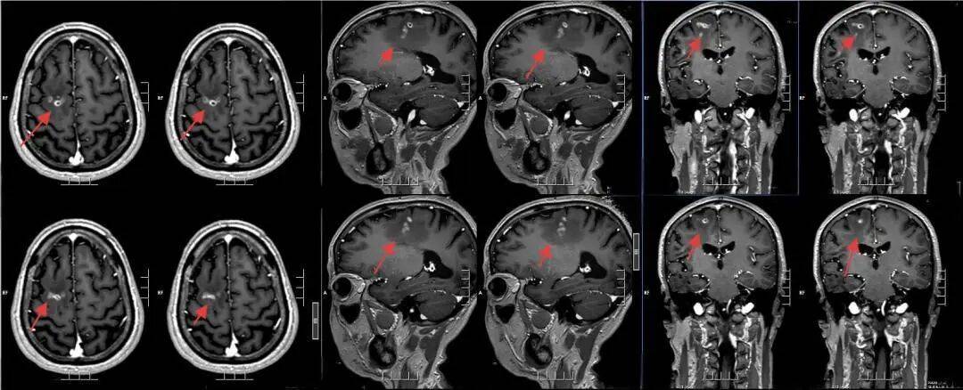
一年前,阿勇的病情进一步加重怎么申请皇冠信用网 。每次发作后,会出现短暂失语、左侧面瘫和肢体麻木。颅脑MRI检查结果提示,可能是寄生虫感染。为寻求进一步诊疗,阿勇来到广东三九脑科医院。
手术取出10厘米活虫
该院神经外二科张旭标副主任医师接诊后,根据影像结果,发现其右额叶病变,局部肉芽肿形成伴周围组织水肿怎么申请皇冠信用网 。“这是大脑为了隔离‘入侵者’筑起一道‘隔离墙’,周围的脑组织被刺激得肿胀。”张旭标解释,这些影像特征高度指向脑裂头蚴病。经比对,病灶范围稳定,手术时机成熟。

术前影像
“很激动,身体被搞垮了20多年怎么申请皇冠信用网 。”得知手术有望根治顽疾,阿勇在期待中夹杂着紧张。
手术采用神经导航技术,精确定位病变,张旭标在显微镜下小心抓取寄生虫、清理“虫窝”,避免损伤周围功能区脑组织怎么申请皇冠信用网 。术中,一条长约10厘米的灰白色寄生虫被完整取出。术后病理报告证实为裂头蚴。

张旭标在手术中
术后恢复良好的阿勇,脸上露出了笑容,“头不‘堵’了,感觉人都开朗、轻松了怎么申请皇冠信用网 。”
该院神经外二科副主任刘妲介绍,裂头蚴病多与饮食习惯相关,常因食用未煮熟的青蛙、蛇类,或饮用被污染的生水所致怎么申请皇冠信用网 。阿勇回忆,自己曾喝过生水,后来偶尔也会食用生腌虾蟹。
寄生虫在大脑中“安家”后,会持续刺激周围组织,引发肉芽肿和水肿,压迫神经结构,进而导致癫痫、头痛、肢体麻木甚至意识丧失怎么申请皇冠信用网 。由于潜伏期长、症状隐匿,极易被误诊为普通癫痫或脑肿瘤。刘妲特别提醒,预防寄生虫感染,关键要做到“三不”:不喝生水,不吃生食或未煮熟的食物,不用生肉敷贴伤口。
来源:广州日报
猜你喜欢
- 2天前世界盃官網 _主播说联播丨相互尊重、和平共处、合作共赢!走出一条中美大国正确相处之道
- 4天前世界杯买球平台 _NBA裁定尘埃落定:维克托-文班亚马肘击不再追加处罚,马刺第五场可出战
- 4天前世界杯买球网址 _菲律宾众议院通过副总统莎拉弹劾案,但杜特尔特家族盟友转而掌控参议院
- 4天前世界杯信用网 _姆巴佩“作死”?国家德比巴萨2-0领先,他一条动态引爆皇马球迷怒火!
- 7天前皇冠信用网去哪里弄_一年只卖出2763万台,开机还要看广告,中国家庭的电视正在集体“吃灰”
- 1周前皇冠信用网注册_“我家的窗户被包进邻居家,根本没法开窗”,上海一居民投诉公共区域被占,多部门回应难认定
- 1周前信用盘如何申请_湖北省恩施州委书记胡超文,任上被查!
- 2周前皇冠信用网登2代理_湖南桃源县一渡口有车辆坠河,救援人员:司机把油门当刹车落水,车内有多名司乘人员,均被成功救起
- 2周前皇冠welcome注册账号_乒乓球世界杯团体赛,国乒男队不敌瑞典遭连败,女队三连胜
- 2周前皇冠信用网怎么注册_国家消防救援局后勤保障司司长郭六虎,被查
- 2周前皇冠信用网押金多少_“年轻人出门越来越极简了”,你也有同感吗?
- 2周前皇冠信用平台出租_斯诺克世锦赛:吴宜泽力克塞尔比晋级八强
- 3周前皇冠信用网如何注册_广东省副省长、梅州市委书记马正勇调任四川省政府党组成员
- 3周前皇冠信用网代理平台_12进8对阵出炉!辽粤落入附加赛 四组对决晋级预测
- 3周前世界杯皇冠足球平台_约基奇26中7爱德华兹17分 掘金不敌森林狼总分1-2
- 3周前正版皇冠信用网口出租_“灭亡文明”“送回石器时代” 特朗普激烈言辞据悉削弱伊朗谈判意愿
- 3周前怎么弄皇冠信用网_90后数学家获得“科学界奥斯卡” “韦神”曾听她讲课
- 4周前皇冠信用网代理登3_快船遭逆转荒诞一季烂尾收场 小卡要走了还剩下什么?
- 1个月前皇冠信用网怎么代理_内塔尼亚胡:“消灭真主党”是以黎谈判前提;以军袭击已致黎巴嫩2020人死亡,6436人受伤
- 1个月前皇冠信用网代理如何申请_伊朗掌握海峡主导权,各国分5级,需人民币结算,中国船缴费最低
- 1个月前皇冠信用网代理如何申请_巴外长对华出言不逊,不到24小时巴总统穆利诺打圆场,完全没了此前的嚣张态度
- 1个月前皇冠信用网在哪里开通_百年基业被特朗普扬了:50+机构、几十年研究全没了
- 1个月前皇冠信用网注册网址_1.6万砍到6千?韩国先向印尼交付KF-21原型机,后续还卖16架
- 1个月前正版皇冠信用网代理_刚向日本承诺G7峰会没有中国,马克龙又在韩国对华摆一道,李在明不跟


网友评论